Services

Home     Services

Our Services

Ultrasound 3D 4D

MRI

  • Head MRI
  • Orbital / Maxillofacial MRI
  • TMJ MRI
  • Neck MRI
  • Spine MRI
  • Brachial Plexus MRI
  • Chest MRI
  • Breast MRI
  • Abdominal MRI
  • MRCP MRI
  • MR Enterography MRI
  • Pelvic MRI
  • Prostate MRI
  • Musculoskeletal MRI
SEE DETAILS
CT Scan

CT Scan

  • Head CT
  • Orbital CT
  • Paranasal Sinuses CT
  • Temporal Bone CT
  • Maxillofacial CT
  • Neck CT
  • Spine CT
  • Chest CT
  • Cardiac
  • Cardiac
  • Coronary Calcium Scoring CT
  • Lung Cancer Screening CT
  • Abdomen CT
  • Colonography CT
  • Pelvic CT
  • Extremity CT
  • IVP CT
SEE DETAILS
Ultrasound 3D 4D

Ultrasound 3D / 4D

  • Thyroid Ultrasound
  • Breast Ultrasound
  • Ultrasound Guided Biopsy
  • Ultrasound Needle Localization
  • Abdominal Ultrasound
  • Pelvic Ultrasound (Non-Pregnant)
  • Obstetric Ultrasound
  • Testicular & Scrotal Ultrasound
  • Musculoskeletal Ultrasound
  • Doppler Ultrasound
  • Peripheral Vascular Doppler
  • Renal Doppler Ultrasound
  • Carotid Doppler Ultrasound
  • TRUS (Trans Rectal USG – Prostate)
SEE DETAILS
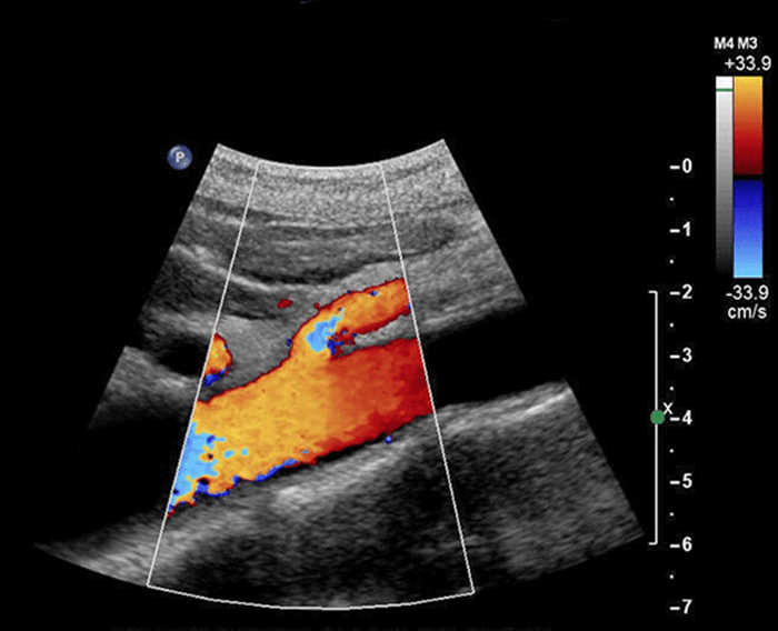
Colour Doppler

Colour Doppler

A Colour Doppler is a non-invasive, radiation-free ultrasound technique that creates real-time, color-coded images to visualize blood flow velocity and direction within vessels.

SEE DETAILS
Echocardiography

Echocardiography

Echocardiography, or a cardiac ultrasound, is a non-invasive diagnostic test that uses high-frequency sound waves to create real-time, moving images of the heart's structure, chambers, valves, and blood flow.

SEE DETAILS
X-Ray Procedures

X-Ray Procedures

  • Digital
  • Upper Gastrointestinal Series
  • Small Bowel Series
  • Barium Enema
  • Urological Procedure (IVP/MCV/RGU)
  • Hysterosalpingogram
SEE DETAILS
Interventional Radiology Procedures

Interventional Radiology Procedures

  • USG Guided Fluid Aspiration (Ascites)
  • USG Guided Abscess Drainage
  • USG Guided Biopsy
    Liver, Lymphnode, Renal, Prostate, Neck, Softtissue
  • CT Guided Biopsy
  • CT Guided Fluid Drainage
SEE DETAILS